
βλέπε: σαρκοείδωση β'
Πρόκειται για μια πολυσυστηματική πάθηση, που χαρακτηρίζεται από την ανάπτυξη μη τυροειδοποιούμενων κοκκιωμάτων, άγνωστης αιτιολογίας, που προσβάλλει κάθε όργανο, αλλά, κυρίως, τους πνεύμονες και τους λεμφαδένες του μεσοθωρακίου. Μπορεί να εξελιχθεί και να μεταπέσει σε πνευμονική ίνωση. Στις συνηθέστερες εντοπίσεις της συγκαταλέγονται οι λοιποί λεμφαδένες, η καρδιά, ο σπλήν, οι οφθαλμοί και το δέρμα (►, &).
Αν και δεν υπάρχουν τυπικά παθογνωμονικά ευρήματα στην πάθηση, η αμφοτερόπλευρη πυλαία λεμφαδενοπάθεια το οζώδες ερύθημα, και η αμφιβληστροειδοπάθεια αποτελούν συνηγορητικά διαγνωστικά ευρήματα. Η διάγνωση βασίζεται στην: [1] αναζήτηση μη τυροειδοποιημένων κοκκιωμάτων, σε ασθενείς με συμβατά κλινικά και ακτινολογικά ευρήματα και [2] στον αποκλεισμό άλλων παθολογικών καταστάσεων, που εκδηλώνονται με κοκκιωματώδεις βλάβες στους νεφρούς.
Στον επόμενο πίνακα, καταχωρούνται οι σχετικές συχνότητες επινεμήσεως διαφόρων οργάνων:
|
Πνεύμονες, 90% Λεμφαδένες 75-90% |
ΠΕΡΙΕΧΟΜΕΝΑ: |γενικά|Αιτιολο γία|Παθολογική ανατομία| Επιδημιολογία –κλινική εικόνα|- Ιστορικό| - Φυσική εξέταση|Εργαστηριακή τεκμηρίωση|Ακτινογραφία θώρακος|βρογχοσκόπηση |Βρογχοκυψελιδικό έκπλυμα|διάγνωση|Εργαστήριο |λειτουργικές δοκιμασίες αναπνοής |Βιοχημικός έλεγχος| διαφορική διάγνωση|παθολογοανατομική τεκμηρίωση|Σπινθηρογράφημα με gallium 67 | Αντίδραση Kveim, Κ|χρόνια πνευμονική σαρκοείδωση|χρόνια εξωπνευμονική σαρκοείδωση| Παθογένεια |Πρόγνωση|Θεραπεία|Σύνδρομο Löfgren|σαρκοείδωση και λέμφωμα|σαρκοείδωση και νεοπλάσματα |σαρκοείδωση και καρκινοειδές|British Thoracic Society. The diagnosis, assessment and treatment of diffuse parenchymal lung disease in adults. Thorax 1999; 54 (suppl. 1): 1-30.|||||σαρκοείδωση
ΓΕΝΙΚΑ. Η αιτιολογία της σαρkοειδώσεως είναι άγνωστη, αλλά η συγκέντρωση Τ- επικουρικών λεμφοκυττάρων σγτις εντοπίσεις της, είναι δηλωτικό ότι πρόκειται για μια ανοσοαπάντηση έναντι ενός δύσχερώς αναγνωριζόμενου αποδομούμενου αντιγόνου. Η συχνότητα με την οποία προσβάλλοντια οι πνεύμονες (90%) εγείρει την υπόθεση ότι αυτό το διηθητικό αντιγόνο εισέρχεται στον οργανσιμό μ έσω του αναπνευθστικού, ενώ η προσέλευση των Τ4-επικουρικών λεμφοκυττάρων στους προσβεβλημένους ιστούς συνδέεται με αντίστοιχη ένδεια στους μη προσβεβλημένους και, επομένως, μείωση ή κατάργηση της επιβραδυνομένης υπερευσιασθησίας. Πράγματι, οι ασθενείς με ενεργό σαρκοείδωση εμφανίζουν αρνητική αντίδραση mantoux (διαμεσολαβούμενη μέσω των επικουρικών Τ4-λεμφοκυττάρων), λόγω ένδειάς τους στο δέρμα, σε περιπτώσεις προηγούμενης μολύνσεως με νυκοβακτηρίδιο ή BCG εμβολιασμό. Η αντίδραση mantoux ενεργοποιείται, πάλι, μετά θερπαεία της σραρκοειδώσεως, π.χ., με γλυκοκορτικοειδή (!). Οι ανοσοσφαιρίνες στον ορό ευρίσκονται αυξημένες και, στην οξεία σαρκοείδωση, αναγνωρίζονται ανοσοσυμπλέγματα. Η κλινικές της μορφές, αλλά για λόγους κλινικής πρακτικής διακρίνονται δύο κύριρες μορφές: η οξεία σαρκοείδωση που είναι, συνήθως, παροδική και λύεται, συχνά, αυτόματα και η χρόνια μορφήπου επιμένει και μπορεί να καταλήξει σε ίνωση.
οξεία σαρκοείδωση. H οξεία μορφή, τυπικά, αρχίζει αιφνίδια, επί νέων ενηλίκων, με οζώδες ερύθημα, και αμφοτερόπλευρη πυλαία λεμφαδενίτιδα, μερικές φορές συνοδευόμενη με ραγοειδίτιδα, αρθρίτιδα και παρωτίτιδα.
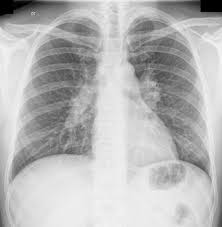
χρόνια σαρκοείδωση. Η χρόνια μορφή σαρκοειδώσεως ακολουθεί μια περισσότερο ήπια διαδρομή και συχνά αναγνωρίζεται σε σχετικά μεγαλύτερες ηλικίες κι επινεμείται περισσότερους ιστούς (εικόνα παραπάνω).
-χρόνια πνευμονική σαρκοείδωση. Επινεμείται το πνευμονικό παρέγυχμα, όπως αναγνωρίζεται η δικτυακή μεταβολή του, στις απεικονιστικές εξετάσεις, ιδίως στα περιπυλαία πνευμονικά πεδία. Από τη φυσική εξέταση, συνήθως αναγνωρίζεται περιορισμένος αριθμός ευρημάτων, ενώ η πνευμονική λετορυγία μπροεί αν διατηρείται σε αποδεκτά όρια. Από τη σπιρομέτρηση αναγνωρίζονται μικτού τύπου μείωση τηςε ικανότητας αερισμού (δδ από καρδιακή ανεπάρκεια). Σε μικρότερο αριθμό ασθενών η σαρκοείδωση μπορεί να μεταπέσει βαθμιαίως σε πνευμονική ίνωση και απώλεια πνευμονικής λειτουργίας, με διαταραχή στην ικανότητα διαχύσεως αερίων, μείωση τνω πνευμονικών όγκων, κια αρχικά, αποφρακτικού τύπου μείωση της ικανότητας αερισμου΄(λόγω της ενδοβρογχικής αναπτύξεως κοκκιωμάτων. Αναγνωρίζεται απόφραξη των μικρών αεραγωγών, παγίδευση αέρος και σχηματισμός φυσαλίδων.
-χρόνια εξωπνευμονική σαρκοείδωση. Η σαρκοείδωση μπορεί να προσβάλει ουσιαστικά κάθε όργανο του οργανισμού.Η οφθαλμική σαρκοείδωση, συχνά, ως πόνος και ερυθρότητα των οφθαλμών, ραγοειδίτις, χοριοαμφιβληστροπάθεια, κερατοεπιπεφυκίτιδα, sicca κια υπρτοφία των δακρυίκών αδένων. Ενδεχομένως, επώδυνη, διογκωση των παρωτίδων, που μερικές φορές αναγνωρίζεται ως παράλυση του προσωπικού ν. Από το ΚΝΣ παρατηρούνται παραλύσεις διαφόρων κρανιακών νεύρων, χρόνια μηνιγγίτιδα, αποφρακτικός υδροκέφαλος κια ποικιλία νευρολογικών συνδρόμων. Επινέμηση τη υποφύσεως μπορεί, σπανιότερα, να προκαλέσει άποιο διαβήτη. Η δερματική σαρκοείδωση επινεμείται το δέρμα, προκαλώντας έναν τύπο κηλιδοβλατιδώδους διαβρώσεως, πλάκες, οζίδια και δερματικό λύκο (κυανού χρώματος δερματικές αλλοιώσεις που κυρίως προσβάλλουν την μύτη και τις απρειές). Ενίοτε παρατηρούνται οστικές κύστεις που διατρέχουν ασυμπτωματικά, ενώ η καρδιακή σαρκοείδωση μπορεί να προκαλέσει αρρυθμίες και διαταραχές της αγωγής. Αναγνωρίζεται υπερασβεστιαιμίααπό την αύξηση του οστικού καταβολισμού και νεφρασβέστωση, υπερασβεστιουρία, και νεφρολιθίαση. Τα σαρκοειδικά κοικκιώματα και η ίνωση μπορεί, επίσης, να εντοπιστούν στο ήπαρ, τον σπλήνα, τους λεμφαδένες και τους μύες. |διάγνωση|θεραπεία|.