
|
διαγνωστικές εξετάσεις επί πνευμονίας η διάγνωση της πνευμονίας είναι συγκερασμός
Οι διαγνωστικές δοκιμασίες επί ασθενών με υπόνοια πνευμονίας αποσκοπούν:
|
Η πνευμονία κοινότητας διαγιγνώσκεται με τη βοήθεια των κλινικών χαρακτηριστικών της, π.χ., βήχας, πυρετός, θωρακαλγία, και τα απεικονιστικά ευρήματα, συνήθως εικόνα πυκνώσεως στην απλή ακτινογραφία θώρακος. Η αρχική εκτίμηση περιλαμβάνει την απόφαση νοσηλείας ή θεραπείας στο σπίτι, και στην απόφαση αυτή τα κριτήρια είναι η βαρύτητα και η ανάγκη χρήσεως νοσοκομειακών μέτρων, χορήγηση οξυγόνου, εφαρμογή μηχανικούς αερισμού, παρεμαβτικού ή μη, οι κίνδυνοι από τη νοσοκομειακή νοσηλεία, ενδονοσοκομειακή επιλοίμωξη, κλινοστατισμός (θρομβοεμβολική νόσος), ουρολοίμωξη. Την απόφαση αυτή συνεπικουρούν πιστοποιηθέντα κριτήρια, όπως το σύστημα PORT, IDSA/ATS, CURB-65, ενώ επιλεγμάνες εργαστηριακές δοκιμάσιες, όπως καλλιέρτγειες αίματος και πτυέλων, ενδείκνυνται για ασθενείς με σοβαρή πάθηση, αν και αποδεικνύονται σπάνια αναγκαίες σε εξωνοσκομειακές περιπτώσεις.
Η πνευμονία κοινότητας οφείλεται σε ποικιλία παθογόνων και, παραδοσιακά, ορίζεται ως τυπική, εάν οφείλεται στον S. pneumoniae, ή άτυπη, εάν οφείλεται σε Mycoplasma pneumoniae, Chlamydophila pneumoniae (Chlamydia pneumoniae), Legionella species και αναπνευσιτκούς ιούς. Συχνά, εν τούτοις, δεν είναι ευχερής η διάγνωση μεταξύ τυπικών και άτυπων πνευμονιών, αποκλειστικά με τη βοήθεια κλινικών κριτηρίων.
Στα συνήθη συμπτώματα επί πνευμονίας συμπεριλαμβάνονται πυρετός, ρίγη, πλευρωδυνία, και παραγωγικός βήχας με βλεννοπυώδη απάχρεμψη. Ο υψηλός πυρετός (<40 ºC), οι άνδρες, έναντι γυναικών, οι πολυλοβωτή επινένηση, και οι γαστρεντερικές και νευρολογικές διαταραχές, συνηγορούν υπέρ πνευμονίας από Legionella (&). Η κλινική εικόνα είναι ασαφέστερη στους ηλικιωμένους, και πολοί απ΄αυτούς δεν εμφανίζουν κλασικά συμπτώματα (&). Όχι σπάνια, εμφανίζονται με γενικά αδυναμία και διανοητική σύγχυση. Η λήψη του ιστορικού κατατείνει στον εντοπισμό ευρημάτων, συμβατών με πνευμονία κοινότητας, εγγενή (υπογαμμασφαιριναιμίες) ή επίκτητα (χρόνια χρήση εισπνεόμενων κορτικοειδών, HIV, νεοπλάσματα αίματος) ελλείμματα τοπικής άμυνας ή ενδεχόμενη έκθεση σε ειδικά παθογόνα (φυματίωση, μυκόπλασμα, λεγεωνέλα). Απευθύνονται ερωτήσεις σχετικά με επαγγελματική έκθεση, εκτροφή ζώων, σεξουαλικό προφίλ, διενέργεια πρόσφατου ταξιδιού (κατά τη διάρκεια του διαρεύσαντος μήνα, με παραμονή σε ξενοδοχεία ή κρουαζιερόπλοια) προκειμένου να προσεγιστεί ο υπεύθυνος αιτιολογικός παράγοντας της λοιμώξεως. Η ιογενής βρογχοπνευμονία είναι πιθανότερη σε περιόδους μικρών 'επιδημιών'. Από τη φυσική εξέταση εντίζετι πυρετός, αμβλύτης, αιγοφωνία, ταχυκαρδία, ταχύπνοια, ασύμμετροι πρόσθετοι αναπνευστικοί ήχοι, πλευριτική τριβή, αυξημένες δονήσεις (σπανιότερα, αλλά ειδικές κι ενσχύουν τη διάγνωση της πνευμονίας, εάν εντοπίζονται, ενώ δεν την αποκλείουν, επί απουσίας τους, &). Οι υγροί, μη μουσικοί ρόγχοι και η βρογχική αναπνοή, μπορεί να βοηθήσουν στη διάγνωση και να εντοπιστεί το στάδιο των παθολογοανατομικών εξελίξεων (τρίζοντες, βρογχική αναπνοή ή σωληνώδες φύσημα, υπόστροφοι τρίζοντες, αντιστοιχούν στο στάδιο της εξιδρώσεως, της ηπατώσεως της λύσεως, αντίστοιχα).Οι νυγροί ρόγχοι και η βρογχική αναπνοή είναι επικουρικοί της διαλγνώσεως, αλλά η συμβολή τους ασθενέστερη της ακτινογραφίας θώρακος (&). Η ταχύπνοια είναι συχνότερη σε ηλικιωμένους (>65 ετών) ασθενείς (70%). 'Ολοι οι σθενείς με υποτιθέμενη πνευμονία πρέπει να παρακολουθούνται με συνεχή καταγραφή παλμικής οξυμετρίας (&).
Η εξιδρωματική διήθηση στην ακτινογραφία θώρακος είναι αναγκαία για την απεικονιστική τεκμγηρίωση της πνευμονίας κοινότητας, κι επομένως, πρέπει νδιενεργείται σε κάθε ασθενή με υποψία πνευμονίας.
Η έκταση των ακτινολογικών ευρημάτων εισφέρει στην αποτύπωση της βαρύτητας της νόσου και συνεπικουρεί στην λήψη των αρχικών αποφάσεων. Η λοβώδης πύκνωση η εκσκαφή, και η πλευριτική συλλογή υποδηλώνουν την μικροβιακή φύση της πνευμονίας, ενώ η διάχυτη παρεγχυματική επινέμηση συνηθέστερα συσχετίζεται με λεγεωνέλλα ή ιογενή λοίμωξη. Για την τεκμηρίωση της πνευμνονίας κοινότητας, απαιτείται η αναγνώριση πυκνώσεως στην -συνήθως- απλή ακτινογραφία θώρακος (&). Η έκταση των ακτινολογικών ευρημάτων εισφέρει στην ταυτοποίηση της βαρύττηας της παθήσεως και στη λήψη αποφάσεων σχετικά με τον τρόπου διαχειρίσεώς της. Η λοβαία πύκνωση, η παρουσία κοιλοτήτων, και η παραπνευμονική πλευριτική συλογή, είναι ευρήματα, δηλωτικά μικροβιακής λοιμώξεως, ενώ, αντίθιετα, η διάχυτη κατανομή, αμτφοτερόπλευρη, προσιδιάζουν σε λοίμωξη από Legionella ή σε ιογενή πνευμονία. Επειδή η υπερκατανάλωση αντιβιθοτικών για τη θεραπεία των λοιμώξεων του ανώτερου αναπνευστικού συστήματος, επάγει την ανάπτυξη ανθεκτικών περιπτώσεων, ενώ δεν είναι απαλλαγμένη παρενεργειών, η ταυτοποίηση εκείνων των ασθενών με πραγματική μικροβιακή πνευμονία είναι απαραίτητη.
Γενικά, οι ενδείξεις διενέρεγειας απεικονιστικού ελέγχου είναι οι εξής: [α] κάθε ασθενής με τουλάχιστον ένα από τα επόμενα: α1. θερμοκρασία>38ºC, α2. ταχυκαρδία >100, α3. αναπνευστική συχνότητα> 20 αναπνοές/λεπτό. [β] κάθε ασθενής με τουλάχιστον ένα από τα επόμενα: β1. μείωση αναπνεσυτικών ήχων, β2. μη μουσικούς ήχους, β3. απουσία άσθματος.
Η διενέργεια εργαστηριακών εξετάσεων για την ταυτοποίηση του υπεύθυνου μικροβιακού παράγοντος για την πνευμονία κοινότητας, συνήθως δεν είναι απαραίτητη. Εν τούτοις, η ταυτοποίηση ειδικών παραγόντων είναι αναγκαία σε εκείνες τις περιπτώσεις που ενοχοποιείται ένας ειδικός αιτιολογικός παράγοντας, με βάση τα κλινικοεπιδημικά ευρήματα, ο οποίος θα μπορούσε να μετατρέψει την εμπειρική θεραπεία.
|
ένδειξη
|
αιμο καλλιέργεια
|
καλλιέργεια πτυέλων
|
ανίχνευση αντιγόνου λεγεωνέλας στα ούρα
|
ανίχνευση αντιγόνου πνευμονιοκόκκου στα ούρα
|
άλλο |
|
εισαγωγή στη ΜΕΘ
|
●
|
●
|
●
|
●
|
ενδοτραχειακή αναρρόφηση εάν έχει διασωληνωθεί |
|
κατανάλωση οινοπνεύματος
|
●
|
●
|
●
|
●
|
|
|
ασπληνικός ασθενής
|
●
|
|
|
●
|
|
|
ύπαρξη κοιλότητας
|
●
|
●
|
|
|
καλλιέργεια για μύκητες ή B Koch |
|
χρόνια, σοβαρή ηπατοπάθεια
|
●
|
|
|
●
|
|
|
λευκοπενία
|
●●
|
|
|
|
|
|
η θεραπεία ως εξωτερικού ασθενούς απέβη αναποτελεσματική
|
|
●
|
● |
●
|
|
| πλευριοτική συλλογή | ● | ● | ● | ● | παρακέντηση και καλλιέργεια πλ. υγρού |
| θετική η εξέταση αντιγόνου στα ούρα για λεγεωνέλλα | ● |
Η υπογλυκαιμία (70 mg/dL), κατά την προσέλευση συνδέεται με αύξηση της θνητότητας κατά το επόμενο 30ήμερο, μετά διόρθωση για άλλους συγχυτικούς παράγοντες, όπως οι συνοσηρόττηες και ο δείκτης βαρύτητας της πνευμονίας (κριτήρια βαρύτητας πνευμονίας κοινότητας) (&). Η λευκοκυττάρωση >10000/mm3, και η CRP >5.0 mg/dl είναι επίσης επικουρικές της τεκμηριώσεως, αν και πρέπει να επισημανθεί ότι οι φυσιολογικές τους τιμές δεν αποκλείουν τη διάγνωση της πνευμονίας (&).
Προ αθρόου αποικισμού, η απομόνωση ενός μικροοργανισμού θέτει την υπόνοια επιμολύνσεως και θέτει επιφυλάξεις για το παθογενετικό αίτο της πνευμονικής νόσου. Σε μια κλινμική δοκιμή ευρείας κλίμακος, δεν διαπιστώθηκε διαφορά στη θνητότητα ή τις ημέρες νοσηλείας, μεταξύ της ομάδας που θεραπεύτηκε με αντιβιόγραμμα και εκείνης με εμπειρική θεραπεία (&). Τα επίπεδα προκαλσιτονίνης είναι αυξημένα σε πολλούς ασθενείς με βακτηριασκές λοιμώξεις και σε πολλές μελέτε έχει δειχθεί ότι η μέτρηση των συγκεντρώσεων προκαλσιτονίνης είναι χρήσιμη στη διαχείριση της πνευμονίας κοινότητας (&, &). Αιμοκαλλιέργειες δεν συνιστώνται για τους περισσότερους νοσηλευόμενους ασθενείς με πνευμονία κοινότητας, κια πρέπει να διενεργούνται μόνο σύμφωνα με τις ενδείξεις (στον πίνακα 1, &). Ο συχνότερα απομονούμενος παθογόνος μικροοργανισμός επί αιμοκκαλιεργειών, στην πνευμονία κοινότητας είναι ο S. pneumoniae, αλλά η βακτηριαιμία, γενικά, δεν αποτελεί δυσμενές προγνωστικό σημείο στην πνευμονία κοινότητας οφειλόμενη σε S. pneumoniae (&). Πρέπει, επιπλέον, όμως, να σημειωθεί ότι έχουν εντοπιστεί ψευδώς θετικά αποτελέσματα, ιδιαίτερα σε ασθενείς μετά παρατεταμένη νοσηλεία και θεραπεία με βανκομυκίνη (&). Αντίθετα, καλλιέργειες αίματος πρέπει να παραγγέλονται σε ασθενείς με σοβαρή πνευμονία κοινότητας (πίνακας 2), επειδή είναι πιθανό να οφείλεται σε άλλα, εκτός τους πνευμονιόκοκκου, παθογόνα (&). Η αιμοκαλλιέργεια επί ασθενών με σοβαρή πνευμονία κοινότητας, εμφανίζει μεγαλύτερη διαγνωστική αξία, καθώς είναι δυνατόν να αναπτυχθούν μικροοργανισμοί που δεν καλύπτονται από την εφαρμογή εμπειρικής θεραπείας και είναι πιθανότερο να επηρεάσουν τη διαμόρφωση εμπειρικής θεραπείας. Οι διεθνείς πνευμονολογικές Εταιρείες συνιστούν ότι η λήψη δειγμάτων πτυέλων για καλλιέργεια και δοκιμασίες ευαισθησίας πρέπει να διενεργείται πριν την χορήγηση αντιβιοτικών (&). Αρνητική καλλιέργεια ικανοποιητικού δείγματος πτυέλων (: με ανίχνευση ουδετεροφίλων, αλλά λιγότερα των 25 πλακωδών κυττάρων ανά πεδίο χαμηλής μικροσκοπίας), αποτελεί ισχυρή ένδειξη παρουσίας gram αρνητικών μικροοργανισμών ή/και Staphylococcus aureus και μπορεί να απολήξει στην ασφαλή αποκλιμάκωση της θεραπείας με αντιβιοτικά. Η νεκρωτική ή κοιλωτική πνευμονία μπορεί να οφείλεται σε ανθεκτικό στη μεθκιλλίνη Staphylococcus aureus, ενδεχόμενο περισσότερο πιθανό, επί ασθενών με ιστορικό λοιμώξεων δέρματος, ή άλλους παράγοντες κινδύνου. Σε ασθενείς με υποψία πνευμονίας από Legionella η καλλιέργεια πτυέλων μπορεί να βοηθήσει στην ταυτοποίηση υπεύθυνου περιβάλλοντος (&).
| ελάσσονα κριτήρια |
| PaO2/FiO2 ratio ≤ 250, θρομβοκυτοπενία (αιμοπετάλια < 100 × 103 per mm3) |
| μείζονα κριτήρια |
| παρεμβατικός μηχανικός αερισμός, σηπτικό shock, που χρειάζεται αγγειοσπαστικές ουσίες. |
Πλευριτική συλλογή, μεγαλύτερη των 5 cm στο πλάγιο ακτινογράφημα, πρέπει να παρακεντείται και η υπεζωκοτική κοιλότητα να εκκενώνεται και το υγρό να αποστέλλεται για Gram χρώση και καλλιέργεια αερόβιων και αναερόβιων παθογόνων. Οι παλαιότεροι συθγγραφείς επεσήμαναν ότι το πλευριτικό εμπύημα δεν πρέπει να το βλέπει το φως της επόμενης ημέρας. Οι δοκιμασίες ανιχνεύσεως αντιγόνων στα ούρα, είναι χρήσιμες, ενόσω δεν αποδίδεται ικανοποιητικής ποσότητας ή ποιότητας δείγμα πτυέλων ή εάν έχει ήδη αρχίσει η θεραπεία με αντιβιοτικά. Η δοκιμασία ανιχνεύσεως πνευμονιοκοκκικού αντιγόνου στα ούρα έχει ευαισθησία 50-80% και ειδικότητα >90%. Παρ΄όλο ότι από τα ούρα μπορεί να ανιχνευθεί μόνο το αντιγόνο του ορότυπου 1 της λεγεωνέλλας, με μεγάλη ευαισθησία και ειδικότητα, ο ορότυπος αυτός ευθύνεται για το 80-95% των πνευμονιών κοινότητας. Σημειώνεται ότι η δοκιμασία ανιχενεύσεως αντιγόνου είναι θετικό από την πρώτη ημέρα και παραμνένει θετικό επί μερικές εβδομάδες, αργότερα. Γενικά, η δοκιμασίαες ανιχνεύσεως αντιγόνων στα ούρα είναι ισχυρότερη στην επιβεβαίωση της νόσου, επί θετικών αποτελεσμάτων, αν και η αρνητική έκβασή της δεν αποκλείει τη λοίμωξη μ΄ενα παθογόνο δεδομένης της σχετικά περιορισμένης ευαισθησίας της.
| σύγχυση, ουρία αίματος > 20 mg per dL (7.14 mmol per L), αναπνευστικός ρυθμός >30 αναπνοές /λεπτό, Αρητριακή πίεση: (συστολική < 90 mm Hg ή διαστολική ≤ 60 mm Hg) |
The Management of Community-Acquired
Pneumonia in Infants and Children Older Than
3 Months of Age: Clinical Practice Guidelines by
the Pediatric Infectious Diseases Society and the
Infectious Diseases Society of America
Guidelines for the Management of Adults with
Hospital-acquired, Ventilator-associated, and
Healthcare-associated Pneumonia
Strategies to Prevent Ventilator‐Associated Pneumonia in Acute Care Hospitals
πνευμονία δεξιού άνω λοβού. ομότιμη σκίαση με περιορισμένη μείωση του ακτινολογικού όγκου του λοβού, με αεροβρογχόγραμμα.
Όπως έχουμε επισημάνει, διατίθεται πληθώρα δοκιμασιών και συστημάτων αξιολογήσεως της βαρύτητα της πνευμονίας, στα οποία συμπεριλαμβάνεται το PSI/PORT (:pneumonia severity index/Patient Outcomes Research Team score), το CURB-65 και άλλα που έχουν
αναλυθεί στα οικεία λήμματα.
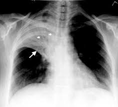
λοβώδης πνευμονία δεξιού μέσου λοβού. προκαλεί θετικό σημείο σιλουέττας με τα δεξιά όρια της καρδιάς. Αεροβρογόγραμμα
πνευμονία από λεγεωνέλλα: Υπονατριαιμία (< 130 mEq/L) και μικροαιματουρία μπορεί να συνοδεύουν την πνευμονία από λεγεωνέλλα. Η αναγνώριση του μικροβίου μπορεί να διευκολυνθεί με εξέταση ειδικών , φθοριζόντων αντισωμάτων, αν και η τεχνική αυτή εμφανίζει υψηλή αναλογία εσφαλμένα αρνητικών αποτελεσμάτων. Ο έλεγχος αντιγόνου στα ούρα του ορότυπο 1 της λεγεωνέλλας είναι ακριβής, αλλά μεγάλη αναλογία προσβολών (>30%) δεν οφείλεται στον ορότυπο 1, γεγονός που δεν πρέπει να αγνοηθεί στο σχεδιασμό της θεραπείας. Τίτλοι αντισωμάτων για λεγεωνέλλα 1:128 ή περισσότεροείναι ενισχυτικό για τη διάγνωση, αλλά οι δοκιμασίες συμπλεγμάτων αντιγόνου-αμντισώματος έχουν μικρή κλινική επίδραση στη λήψη θεραπευτικής αποφάσεως, αν και μπορεί να διαλευκάνει αμφισβητούμενες ή ασαφείς περιπτώσεις.
πνευμονία από πνευμονιόκοκκο: Έχουν αναπτυχθεί tests ελέγχου του αντιγόνου, σε δείγματα σιέλου, ορού, ούρων.
Ο απεικονιστικός έλεγος συνδράμει την διαγνωστική προσπάθεια λυσιτελώς, αν και σε ορισμένες, μόνο, περιπτώσεις μπορεί να αποβεί χρήσιμος στην αναγνώριση του υποκείμενου αιτιοπαθογενετικού παράγοντος.
εργαστηριακές εξετάσεις ρουτίνας
εξετάσεις αίματος
εξετάσεις πτυέλων
διατραχειακή αναρρόφηση
ακτινογραφία θώρακος
αξονική τομογραφία θώρακος
υπερηχογράφημα θώρακος
βρογχοσκόπηση με ή χωρίς BAL
παρακέντηση θώρακος
άλλες ειδικές για τον υποκείμενομ αιτιοπαθογενετικό παράγοντα δοκιμασίες
παθολογική ανατομία
εκτίμηση υπεύθυνου μικροβιολογικού παράγοντος
1. Cunha BA. Clinical features of legionnaires' disease. Semin Respir Infect. 1998;13(2):116–127.
2. Lim WS, Baudouin SV, George RC, et al.; Pneumonia Guidelines Committee of the BTS Standards of Care Committee. BTS guidelines for the management of community acquired pneumonia in adults: update 2009. Thorax. 2009;64(suppl 3):1–55.
3. Diehr P, Wood RW, Bushyhead J, Krueger L, Wolcott B, Tompkins RK. Prediction of pneumonia in outpatients with acute cough—a statistical approach. J Chronic Dis. 1984;37(3):215–225.
4. Wipf JE, Lipsky BA, Hirschmann JV, et al. Diagnosing pneumonia by physical examination: relevant or relic? Arch Intern Med. 1999;159(10):1082–1087.
5. Mandell LA, Wunderink RG, Anzueto A, et al. Infectious Diseases Society of America/American Thoracic Society consensus guidelines on the management of community-acquired pneumonia in adults. Clin Infect Dis. 2007;44(suppl 2):S27–S72.
6. Mandell LA, Wunderink RG, Anzueto A, et al. Infectious Diseases Society of America/American Thoracic Society consensus guidelines on the management of community-acquired pneumonia in adults. Clin Infect Dis. 2007;44(suppl 2):S27–S72.'
7. van der Eerden MM, Vlaspolder F, de Graaff CS, et al. Comparison between pathogen directed antibiotic treatment and empirical broad spectrum antibiotic treatment in patients with community acquired pneumonia: a prospective randomised study. Thorax. 2005;60(8):672–678.
8. Mortensen EM, Garcia S, Leykum L, Nakashima B, Restrepo MI, Anzueto A. Association of hypoglycemia with mortality for subjects hospitalized with pneumonia. Am J Med Sci. 2010;339(3):239–243.
9. Müller F, Christ-Crain M, Bregenzer T, et al.; ProHOSP Study Group. Procalcitonin levels predict bacteremia in patients with community-acquired pneumonia: a prospective cohort trial. Chest. 2010;138(1):121–129.
10. Christ-Crain M, Stolz D, Bingisser R, et al. Procalcitonin guidance of antibiotic therapy in community-acquired pneumonia: a randomized trial. Am J Respir Crit Care Med. 2006;174(1):84–93.
11. Melbye H, Straume B, Brox J. Laboratory tests for pneumonia in general practice: the diagnostic values depend on the duration of illness. Scand J Prim Health Care. 1992;10(3):234–240.
12. Bordón J, Peyrani P, Brock GN, et al.; CAPO Study Group. The presence of pneumococcal bacteremia does not influence clinical outcomes in patients with community-acquired pneumonia: results from the Community-Acquired Pneumonia Organization (CAPO) International Cohort study. Chest. 2008;133(3):618–624.
20. Metersky ML, Ma A, Bratzler DW, Houck PM. Predicting bacteremia in patients with community-acquired pneumonia. Am J Respir Crit Care Med. 2004;169(3):342–347.
21. Bartlett JG. Diagnostic test for etiologic agents of community-acquired pneumonia. Infect Dis Clin North Am. 2004;18(4):809–827.