
καρδιαγγειακές παθήσεις-εισαγωγή |Στηθάγχη |καρδιακή ανεπάρκεια|θεραπεία |φάρμακα|οξεία καρδιακή ανεπάρκεια| παθοφυσιολογία. Η ΚΑ είναι εάν σύνδρομο, απότοκο όχι μόνο χαμηλής καρδιακής εξωθήσεως, που οφείλεται σε διαταραχή της συσταλτικής λειτουργίας της καρδιάς, αλλ' επίσης από τις επιδράσεις αντιρροπιστικών μηχανισμών. Η μυοκαρδιακή βλάβη, οποιασδήποτε αιτιολογίας μπορεί να προκαλέσει μυοακαρδιακή ανεπάρκεια. Προκειμένου να αντιρροπιστεί η μειωμένη καρδιακή εξώθηση ή η καρδιακή ανεπάρκεια, προκαλείται αύξηση της πιέσεως της κοιλιακής πληρώσεως προς διατήρηση της εξωθήσεως μέσω του νόμου του Frank-Starling. Η αυξημένη πίεση πληρώσεως μπορεί να επηρεάσει δυσμενώς την υπενδοκάρδια ροή και προκαλεί επιδείνωση της ισχαιμίας. Με συνέχιση της χαμηλής καρδιακής εξωθήσεως ενεργοποιούνται πρόσθετοι μηχανισμοί, συμπεριλαμβανομένων της διεγέρσεως του συμπαθητικού συστήματος, ενεργοποιήσεως του συστήματος ρενίνης-αγγειοτασίνης και εκκρίσεως βασοπρεσσίνης. Οι μηχανισμοί αυτοί οδηγούν σε κατακράτηση νερού και άλατος και φλεβόσπασμο, με αποτέλεσμα αύξηση τόσο του προφορτίου, όσο και του μεταφορτίου. Οι μεταβολές αυτές στα φορτία, αρχικά αντιρροπούνται και μπορεί να παροξύνουν την καρδιακή ανεπάρκεια, επειδή η αύξηση των προφορτίων αυξάνει την πνευμονική συμφόρηση και η αύξηση του μεταφορτίου μειώνει την καρδιακή εξώθηση. Πρόσφατα έχει εστιαστεί η προσοχή στην ιστική αναδιαμόρφωση στην καρδιά με τις διαδικασίες της οποίας αναπτύσσονται αλλοιώσεις στο μέγεθος των κοιλιών, το σχήμα τους και τη λειτουργία τους, που ρυθμίζονται από μηχανικούς, νευροχυμικούς και γενετικούς παράγοντες, ως παθοφυσιολογικός μηχανισμός της καρδιακής ανεπάρκειας. Η ιστική αναδιαμόρφωση μπορεί να είναι φυσιολογικό, προσαρμοστικό επακόλουθο της αναπτύξεως και της ηλικιώσεως, αλλά εκτεταμένη αναδιαμόρφωση, όπως μετά ΕΜ, υπερτάσεως, καρδιομεγαλίας ή βαλβιδοπάθειας μπορεί να αποβεί παθολογική. Πρώιμη τοπική αναδιαμόρφωση μετά από ΕΜ μπορεί να επεκατείνει τη ζώνη του εμφράγματος αλλά όψιμη αναδιαμόρφωση στο σχηματισμό της οποίας εμπλέκονται νευροχυμικοί μηχανισμοί αρχίζει με αιμοδυναμικές καταπονήσεις περιλαμβάνει την αριστερή κοιλία εξ ολοκλήρου κια συνδυάζεται με διαστολή που εκτείνεται με την παρόδο του χρόνου διαστροφή του σχήματος της κοιλίας και υπερτροφία των τοιχωμάτων της. Αδυναμία των κοιλιακών καταπονήσεων να επιστρέψουν στα φυσιολογικά τους μέτρα, απόληγει σε προοδευτική διόγκωση και επιδείνωση της λειτουργίας της συστολής. Παρόμοιοι μηχανισμοί κρατούν και σε άλλες μορφές καρδιομυοπάθειας, επίσης. Η κοιλιακή αναδιαμόρφωση μπορεί να θεωρηθεί ως πρωτεύων στόχος, για τη θεραπεία και αξιόπιστος τελικό σημείο για την διαχείριση της καρδιακής ανεπάρκειας. διάγνωση. Τα συμπτώματα και σημεία της συμφορητικής καρδιακής ανεπάρκειας, ΣΚΑ, εξαρτώνται τόσο από τη χαμηλή καρδιακή εξώθηση και τις αυξημένες πιέσεις πληρώσεως στην αριστερή κοιλία. Η χαμηλή εξώθηση παράγει το σύμπτωμα της αδυναμίας και κοπώσεως και ωχρή χροιά δέρματος, μερικές φορές με κηλίδες. Η αυξημένη πίεση πληρώσεως στη αριστερή κοιλία απολήγει σε συμπτώματα πνευνικής συμφορήσεως όπως η δύσπνοια, ο βήχας, η ορθόπνοια, και η απριξυσμική νυκτερινή δύσπνοια, όπως κια σημεία, όπως η ταχυκαρδία, οι τρίζοντες, μη μουσικοί ρόγχοι, η διεύρνησ της περιοχής όπως εντοπίζεται η ακρδιακή ώση και ο καλπαστικός ρυθμός (S3 και S4), φύσημα ανεπάρκειας της μιτροειδούς. Η αύξηση του προφορτίου της δεξιάς, μπορεί να οδηγήσει σε συμπτώματα όπως η ανορεξία, η ναυτία και ο κοιλιακός πόνος, από κοινού με σημεία συστηματικής συμφορήσεως όπως η διάταση της σφαγίτιδας, δεξιός καλπαστικός ρυθμός, φύσημα στην εστία ακροάσεως της πνευμονικής, τριγχλώχινος, ηπατομεγαλία, ασκίτης και περιφερικό οίδημα.
| Η εικόνα της οξείας καρδιακής ανεπάρκειας |οξεία, μη αντιρροπούμενη καρδιακή ανεπαρκεια| και του πνευμονικού οιδήματος μπορεί να είναι δραματική με αιφνίδια εγκατάσταση της δύσπνοιας, και ταχύπνοια με ενεργοποίηση των επικουρικών μυών. Από την ακρόαση περιγράφονται τρίζοντες και ίσως και συρίττοντες και στα δύο ημιθωράκια, που μπορούν έως κια να επισκιάζουν τους φυσιολογικούς τόνους της καρδιάς. υπότεση κι ευρήματα περιφερικού αγγειόσπασμου και υποαιμάτωση είναι εμφανής, εάν η καρδιακή εξώθηση είναι χαμηλή. | 
Στη διαφορική διάγνωση του οξέος πνευμονικού οιδήματος περιλαμβάνονται άλλα αίτια οξείας δύσπνοιας, όπως η πνευμονική εμβολή, ο πνευμοθώρακας και το βρογχικό άσθμα και αίτια μη καρδιογενούς πνευμονικού οιδήματος, όπως η εισρόφηση, η λοίμωξη, οι τοξίνες ή το τραύμα.
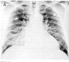
Η αρχική προσέγγιση ασθενών με πνευμονικό οίδημα συμπεριλαμβάνει ΗΚΓφημα και ακτινογραφία θώρακος. Στο ΗΚΓφημα μπορεί να περιέχονται ευρήματα μυοκαρδιακής ισχαιμίας, αρρυθμίας, διαταραχές αγωγιμότητας, όπως κολποκοιλιακός αποκλεισμός και αποκλεισμός σκέλους, κύματα Q ενδεικτικά παλαιότερου ΕΜ ή κριτήρια διαγνωστικά υπερτροφίας, ενώ ευρήματα διαγνωστικά υπερτροφίας μπορεί να παρέχουν κλείδες αναφορικά με το αιτιολογικό υπόστρωμα της καρδιακής ανεπάρκειας. Η διάταση του κόλπου είναι συμβατή με χρόνια αύξηση της πιέσεως πληρώσεως. Από την ακτινογραφία θώρακος αναγνωρίζουμε αναστροφή της αιματικής ροής και επαναδιανομή της αιματώσεως, με ή χωρίς αμφοτερόπλευρες διηθήσεις, κλασικά περιπυλαίες, όπως και καρδιομεγαλία. Μπορεί να αναγνωριστεί πλευριτική συλλογή, εύρημα, γενικά με χαμηλή ειδικότητα κι ευαισθησία. Από τα εργαστηριακά ευρήματα περιλαμβάνονται ηλεκτρολύτες ορού και κρεατινίνη, γλυκόζη αίματος για την αναγνώριση υποκείμενου σακχαρώδους διαβήτη, ηπατικό έλεγχο, που μπορεί ανν αποκαλύπτει ηπατική συμφόρηση, κια πλήρη αιματολογικό έλεγχο, εφόσον η αναιμία μπορεί να παροξύνει τη χρόνια συμφορητική καρδιοπάθεια. Η μέτρηση του κολπικού νατριουρητικού πεπτιδίου,BNP, έχει εισαχθεί στον αλγόριθμο της χρόνιας καρδιακής ανεπάρκειας. Το ΒNP παράγεται από κοιλιακά μυοκύτταρα σε απάντηση της επιτάσεως του stress του τοιχώματος (αύξηση της πιέσεως πληρώσεως και stretch). Τα επίπεδα του ΒNΡ στο πλάσμα αυξάνονται επί καρδιακής ανεπάρκειας και οι συγκεντρώσεις του στο πλάσμα συσχετίζονται με τη λειτουργική τάξη, κατά ΝΥΗΑ. Οι μετρήσεις του ΒΝΡ χρησιμοποιούνται μεταξύ της καρδιακής και της πνευμονικής αιτιιολογίας της δύσπνοιας. Στη μελέτη breathing not Properly, BNP, μετρήθηκε το ΒΝΡ πλάσματος με μια ταχεία μέθοδο σε 1856 ασθενείς που προσήλθαν στα ΤΕΠ με κύριο αίτημα δύσπνοια και διαπιστώθηκε ότι 47% διαγνώστηκαν με χρόνια καρδιακή ανεπάρκεια και 49% μη καρδιακής αιτιολογίας δύσπνοια. Στο 5% διαπιστώθηκε ότι είχαν μη καρδιακής αιτιολογίας δύσπνοια, με δυσλειτουργία, όμως, της αριστερής κοιλίας. Οι συγκεντρώσειος ΒΝΡ, μεγαλύτερες των 400 pg/ml υποδηλώνει, με ακρίβεια, καρδιακή ανεπάρκεια. ενώ επίπεδα χαμηλότερα των 100 pg/ml επιβεβαιώνει τη μη καρδιακής αιτιολογίας δύσπνοια. Τιμές μεταξύ 100-400, είναι λιγότερο χρήσιμες. Παρόμοιες τιμές μπορεί να αντανακλούν χρόνια καρδιακή ανεπάρκεια, αλλά και προϋπαρχουσα δυσλειτορυγία της αριστερής κοιλίας ή δεξιά καρδιακή ανεπάρκεια. Η προσθήκη υπερηχοκαρδιογραφήματος σε συνθήκες ισχιμαίας μπορεί να είναι ιδιαίτερα χρήσιμη στην εκτίμηση ασθενών με ενδιάμεσες τιμές ΒΝΡ.
Το υπερηχοκαρδιογράφημα παρέχει σημαντικές πληρογφορίες για ο μέγεθος της καρδιάς και τη λειτουργία της και πρέπει να διενεργείται σε όλους τους ασθενείς με νέα εγκατάσταση καρδιακής ανεπάρκειας. Είναι απλό, ασφαλές και παρέχει δεδομένα αναφορικά με τις διαστάσεις των διαμερισμάτων της καρδιάς, τη λειτουργία της δεξιάς και αριστερής κοιλίας, τη δομή κια λειτουργία των βαλβίδων, το μέγεθος των κόλπων, και την ανατομία του περικαδριακού σάκκου. Περιοχικές διαταραχές κινητικότητας είναι δηλωτικές ισχαιμίας, αλλ' είναι λιγότερο επικουρικές,  όταν κανένα από τα τοιχώματα της καρδιάς λειτουργούν φυσιολογικά. Ινωτικές, λεπτυσμένες κια ακίνητες περιοχές εν τούτοις, δηλώνουν προηγηθέν ΕΜ. Το Doppler καρδιάς μπορεί να χρησιμοποιηθεί για τον έλεγχο της ανεπάρκειας της τριγχλώχινος και διγχλώχινος και μπορεί να χρησιμοποιηθεί για τον έλεγχο της πνευμονικής αρτηριακής πιέσεως. Επιπλέον, το Doppler χρησιμοποιείται, ολοένα συχνότερα, για τη διάγνωση της διαστολικής δυσλειτουργίας. 
Η μαγνητική τομογραφία καρδιαγγειακού είναι μια ταχέως εξελισσόμενη τεχνολογία που χρησιμοποιείτια ολοένα συχνότερα προς εκτίμηση ασθενών με καρδιακή ανεπάρκεια. Η ΜΡΙ παρέχει ακριβή της ανατομίας του μυοκαρδίου την περιοχική και συνόλη λειτουργικότητα και την βιοσιμότητά του. H ΜΡΙ παρε΄χει κλείδες, αναφορικά με την αιτιολογ΄θα της καρδιακής ανεπάρκειας. Με τη χορήγηση γαλονιδίου, ως σκιαστικού, μπορεί να απεικονιστεί το ιστικό οίδημα, Επί ισχαιμικής μυοκαρδιοπάθειας , η όψιμη λήψη μπορεί να εμφανίσει ευρήματα ενδαυλικού ή υπενδοκάρδιου εμφράγματος. Σε περιπτώσεις μη ισχαιμικής καρδιοπάθειας, η MRI μπορεί να απεικονίσει διηθήματα ή όψιμη ενίσχυση του γαλονιδίου  στο τοίψμα ή το επικάρδιο.
Οι ασθενείς που προσέρχονται για καρδιακή ανεπάρκεια πρέπει να εκτιμώνται για την παρουσία στεφανιαίας ανεπάρκειας, κι επομένως πρέπει να οδηγούνταισ τη διενέργεια δοκιμασιών κοπώσεως. Η διαγνωστική εξέταση συμπληρώνεται νε υπερηχοκαρδιογράημα ή απεικονιστικές εξετάσεις, παρ΄όλο ότι και οι δύο αυές εξετάσεις έχουν ερμηνευτικές δυσκολίες σε περιπτώσεις κοιλιακής δυσλειτουργίας. Πολλοί ασθενείς οφελούνται περισσότερο, εάν οδηγηθούν αμέσως, παρακάμπτοντας τις εξετάσεις αυτές, σε καρδιακό καθετηριασμό. Ακόμη και επί γνωστής αθηροσκληρύνσεως, εν τούτοις, με τη δοκιμασία κοπώσεως μπορεί να ταυτοποιηθεί βιόσιμο μυοκάρδιο, εάν επιχειρηθεί ενασυριγγοποίηση. Σε ασθενείς με σοβαρή ακρδιακή ανεπάρκειας, η μέτρηση της μεγίστης καταναλώσεως οξυγόνου |Σχέση V̇Ο2 – ΗR και Ο2 παλμού|Σχέση V̇Ο2 – WR|  μπορεί να αποτελέσει ένα πολύ σημαντικό προγνωστικό κριτήριο. Ο καρδιακός καθητερισμός αποτελεί το 'χρυσο πρότυπο' για τον αποκλεισμό στεφανιαίας αποφράξως κια πρέπει να διενεργείται στους περισσ΄τοερους ασθενείς με νέας εγκαταστάσεως, καρδιακή ανεπάρκεια., ακόμη και σε εκείνους χωρίς στηθαγχικά ενοχλήματα, εκτός και επί απρουσία συνοσηροτήτων καθιτούν  το κίνδυνο απαγορευτικό ή θα απέκλειε οποιαδήποτε παρεμβατική θεραπεία. Επιπλέον της στεφανιαίσς αγγειογραφίας, οι μετρήσεις καρδιακής εξωθήσεως και πιέσεων πληρώσεως μπορεί να αποβούν χρήσιμες τόσο θερπυτικά, όσο και προγνωστικά. Η βιοψία του ενδομυοκαρδίου μπορεί να εκτελεστεί σε επιλεγμένες περιπτώσεις, επί ασυνήθων περιπτώσεων ενδοκαρδίτιδας. Η βιοψία του ενδομυοκαρδίου μπορεί να επιχειρηθεί σε επιλεγμένες περιπτώσεις,, εάν υπάρχουν υπόνοιες ασυνήθωμν μορφών μυοκαρδίτιδας |θεραπεία της καρδιακής ανεπάρκειας | | | | | | |.