
|
μείζονα Η διάγνωση θεωρείται εάν ο ασθενής ικανοποιεί 4 από τα μείζονα και τουλάχιστον 2 από τα ελάσσονα κριτήρια κι εφόσον όλες οι άλλες παθήσεις με παρόμοια κλινική εικόνα αποκλειστούν. Παρ΄όλο ότι τα παραπάνω κριτήρια παρέχουν χρήσιμες κλείδες για τη διάγνωση της παθήσεως, δεν φαίνεται ότι εξασφαλίζουν διαγνωστική εγγύηση (&).
|
Η διάγνωση της πνευμονίας εξ υπερευαισθησίας βασίζεται στο ιστορικό, τη φυσική εξέταση, και τα ακτινολογικά ευρήματα. Αναφέρεται πυρετός, ρίγη, κακουχία, βήχας, δύσπνοια, και κεφαλαλγία, 4-6 ώρες μετά την έκθεση σε έναν προκλητικό παράγοντα, επί οξείας πνευμονίας εξ υπερευαισθησίας.
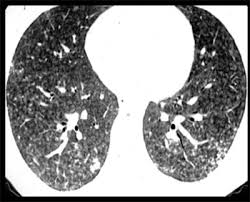
Οι υποξείες και χρόνιες μορφές χαρακτηρίζονται από βήχα, προοδευτική δύσπνοια, κόπωση, ανορεξία, και απώλεια βάρους. Κατά την εξέταση, οι ασθενείς εμφανίζουν πυρετό, ταχύπνοια, και διάχυτους τρίζοντες· με απώλεια μυϊκής μάζας, πληκτροδακτυλία, και αναπνευστική δυσχέρεια σε σοβαρότερες καταστάσεις. Η ακτινογραφία δείχνει μικροοζώδεις ή δικτυωτές σκιάσεις (εικόνα 1) επί οξείας ή υποξείας ΠΥ και εξελικτική ίνωση με απώλεια πνευμονικού όγκου, στις χρόνιες μορφές της ΠΥ.
Η διάγνωση της πνευμονίας εξ υπερευαισθησίας εξαρτάται σε μεγάλο βαθμό από τη δυνατότητα συσχετίσεως των συμπτωμάτων με τον αιτιολογικό παράγοντα. Επομένως, είναι απαραίτητη η πολύ προσεκτική λήψη του ιστορικού, που αποτελεί την κύρια κλείδα της διαγνώσεως. Ετσι, μπορεί να αποδειχθεί η εμφάνιση των συμπτωμάτων στην οξεία φάση 4-6 ώρες μετά τη μαζική έκθεση στον αιτιολογικό παράγοντα. To ιστορικό εκθέσεως μπορεί να αποδειχθεί δύσκολο να αποκαλυφθεί, ιδίως όταν ο υποκείμενος αιτιολογικός παράγοντας είναι οι υγραντήρες ή οι συσκευές κλιματισμού. Είναι δύσκολο, επιπλέον, να αποκαλυφθεί ο υποκείμενος αιτιοπαθογενετικός παράγοντας, σε περιπτώσεις με χαμηλή, αλλά μακροχρόνια έκθεση.
a. Πρεσιπιτίνες ορού
Παρ΄όλο ότι η παρουσία τους δεν είναι παθογνωμονική, καθιζάνοντα αντισώματα ανιχνεύονται συχνά (σε ποσοστό μεγαλύτερο του 50%), επί ασθενών με πνευμονία εξ υπερευαισθησίας. Σημειώνεται ότι αντισώματα του είδους ανιχνεύονται, επίσης, σε άτομα χωρίς τη νόσο. Τα ψευδώς αρνητικά αποτελέσματα μπορεί να αποδοθούν στην εσφαλμένη επιλογή του ή την ακατάλληλη προετοιμασία του αντιγόνου για την εκτέλεση της δοκιμασίας.
b. Δερματικές δοκιμασίες
Ο έλεγχος της δερματικής αντιδράσεως απέναντι στο πιθανολογούμενο αντιγονικό ερέθισμα δεν είναι ειδικός και, επομένως, αξιόπιστος. Για το λόγο αυτόν, οι δερματικές δοκιμασίες δε χρησιμοποιούνται στη διάγνωση της πνευμονίας εξ υπερευαισθησίας.
c. Βρογχοπνευμονική πρόκληση
Με την εισπνοή απομονωθέντος αντιγόνου μπορεί να προκληθούν συμπτώματα ανάλογα με τα παρατηρούμενα επί οξείας μορφής πνευμονίτιδας εξ εισροφήσεως. Τα συμπτώματα εμφανίζονται 4-12 ώρες μετά την εισπνοή του αντιγόνου και, συμπερασματικά, επιβεβαιώνουν τη συμμετοχή του αντιγόνου στη διαμόρφωση των παθογενετικών εξελίξεων. Ωστόσο, δεν υπάρχουν καλά προτυποποιημένα αντιγόνα και η δοκιμασία μπορεί να προκαλέσει βαρειά συμπτώματα στον ασθενή και μεγάλου βαθμού υποξαιμία. Επομένως, οι δοκιμασίες βρογχοπνευμονικής προκλήσεως δεν πρέπει να αποτελούν συνήθη διαγνωστική πρακτική.
d. Βρογχοκυψελιδικές εκπλύσεις
Οι βρογχοκυψελιδικές εκπλύσεις μπορεί να προσφέρουν σημαντικά στη διάγνωση της εξ υπερευαισθησίας πνευμονίας. Τυπικά, συγκεντρώνεται μεγάλος αριθμός λεμφοκυττάρων, ικανή αναλογία από τα οποία είναι Τ-λεμφοκύτταρα (Τ8+, κατασταλτικά, κυτταροτοξικά λεμφοκύτταρα). Το βρογχοκυψελιδικό έκπλυμα εμπεριέχει επίσης μεγάλα ποσά IgG και IgM, ενώ είναι πλούσιο σε λευκώματα.
e. Βιοψία πνεύμονος
Η βιοψία πνεύμονος είναι, μερικές φορές, αναγκαία, προκειμένου να προσεγγισθεί η διάγνωση σε εκείνες από τις περιπτώσεις στις οποίες δεν μπορεί να αναγνωρισθεί σαφής έκθεση σε συγκεκριμένο αντιγόνο από το ιστορικό και δε διευκρινίζεται η πάθηση από τον υπόλοιπο κλινικοεργαστηριακό έλεγχο. Δείγματα διαβρογχικής βιοψίας πνεύμονος είναι συνήθως ανεπαρκούς ποσότητας για την ιστολογική στήριξη της διαγνώσεως. Αν και τα παθολογοανατομικά ευρήματα μπορεί να διευκολύνουν τον αποκλεισμό άλλων νοσημάτων με παρεμφερή κλινικοεργαστηριακή συμπεριφορά, δεν υπάρχουν παθογνωμονικά ιστολογικά ευρήματα επί πνευμονίας εξ υπερευαισθησίας.
f. αξονική τομογραφία θώρακος
Τα ακτινολογικά ευρήματα επί ΠΥ είνμαι παρόμοια, ανεξάρτητα από τον αιτιολογικό παράγοντα που τα προκάλεσε και μπορούν να διακριθούν σε τρεις κατηγορίες: οξέα, υποξέα και χρόνια. Η αξονική τομογραφία υψηλής αναλύσεως εμφανίζει εικόνα θαμβής υάλου στις οξείες μορφές, εστίες παγιδεύσεως αέρα με διάχυτα μικροοζίδια, στις υποξείες μορφές, και εκτεταμένη ίνωση με εικόνα μελιτοκηρύθρας και παγίδευση αέρος, στις χρόνιες. Η απλή ακτινογραφία περιγράφεται αλλού. Στις συμπληρωματικές διαγνωστικές εξετάσεις περιλαμβάνονται δοκιμασίες προκλήσεως, λήψη BAL λειτουργικές δοκιμασίες αναπνοής, και βιοψία ανοικτού πνεύμονος, που θα βοηθήσουν στην τεκμηρίωση της διαγνώσεως και την ταυτοποίηση του αιτιολογικού παράγοντος.
Τα ακτινολογικά και παθολογοανατομικά ευρήματα είναι απρόμοια από περιπτωσεως σε περίπτωση, ανεξάρτητα του υπεύθυνου αλλεργιογόνου που προκάλεσε την πάθηση. Τα ευρήματα αυτά μπορούν να κατανεμηθούν σε τρία στάδια, της οξείας, υποξείας και χρόνιας μορφής πνευμονίας εξ υπερευαιθησίας.
|
οξεία φάση: διάχυτες αμφοτερόπλευρες περιοχές πυκνώσεως ή εικόνες θαμβής υάλουπου επικρατούν στηο μέσο και κάτω πνευμονικό πεδίο. Δεν επινεμείται η πλευροδιαφραγματική γωνία |
Μετά τη λύση της οξείας φάσεως, που μπορεί να απαιτήσει την παρλκευση μερικών ημερών ή μεταξύ επεισοδίων οξείας εκθέσεως, στις ακτινογραφίες διακρίνεται μια λεπτοοζώδης, διάχυτη εικόνα, που χαρακτηρίζει την υποξεία φάση. Μερικές φορές, η εικόνα αυτή δεν διακρίνεται. Η χρόνια φάση της πνευμονίας εξ υπερευαισθησίας αναγνωρίζεται από την ανάπτυξη ινώσεως, που μπορεί να αναπτυχθεί μήνες ή χρόνια μετά την αρχική έκθεση. Η ίνωση μπορεί να κατανέμεται εμβαλωματικά, ή να μιμείται παθολογοανατομικά και ακτινολογικά την ιδιοπαθή πνευμονική ίνωση με παρουσία εικόνας μελιττοκηρύθρας. Πιστεύεται ότι η ίνωση επί χρόνιας μορφής πνευμονίας εξ υπερευαισθησίας κατανέμεται στα μέσα και κάτω πνευμονικά πεδία. Ακτινολογικά ευρήματα υποτροπιάζουσας, παροδικής εικόνα θαμβής υάλου,ή ασαφώς αφοριζόμενων περιοχών κυψελιδικής πληρώσεως θεωρούνται τυπικές και άκρως ενδεικτικές πνευμονίας εξ υπερευαισθησίας.
|
υποξεία μορφή
1. εμβαλωματικές ή διάχυτες εστίες θαμβής υάλου (α)
2. μικρά κεντροβοτρυδιακά οζίδια (α,β)
3. συνύπαρξη του 1 και 2 (α,β)
4. βοτρυδιακές περιοχές με εικόνα μωσαϊκού - μειωμένης ακτινολογικής πυκνότητας (α,β)
5. βροτρυδιακές περιοχές παγιδεύσεως αέρος στις εκπνευστικές λήψεις (α,β)
6. ευρήματα πνευμονικής ινώσεως
χρόνια μορφή
1. ευρήματα πνευμονικής ινώσεως (πάχυνση των ενδολοβιδίων διαφραγματίων, ανώμαλη εικόνα διαμετωπίσεως, πάχυνση των διαλοβιδιακών διαφραγμάτων, εικόνα μελιττοκηρύθρας, εξ έλξεως βρογχεκτασίες ή βρογχιολεκτασίες, α, β).
2. επιπροβαλλόμενες εικόνες υαμβής υάλου ή κεντροβοτρυδιακά οζίδια (α,β)
3. εμβαλωματική κατανομή των βλάβων (α,β)
4. δεν υπάρχει ειδική κατανομή, συνήθως παραμένουν άθικτες οι πλευροδιαφραγματικές γωνίες (α,β).
-----------
α=περισσότερο κοινά ευρήματα, β=ευρήματα που περισσότερο διευκολύνουν τη διάγνωση
|
υποξεία μορφή πνευμονίας εξ υπερευαισθησίας. [α] φυσιολογική ακτινογραφία θώρακος, παρ΄όλο ότι η HRCT εμφανίζει εικόνα θαμβής υάλου στα άνω πνευμονικά πεδία και τις υπολεύριες περιοχές. οζίδια
υποξεία μορφή πνευμονίας εξ υπερευαισθησίας. εμβαλωματικές περιχοές θαμβής υάλου, αμφοτερόπλευρα. παγίδευαη αέρος στο εκπνευστικό (Β) και εικόνα μωσαϊκού υποξεία μορφή πνευμονίας εξ υπερευαισθησίας. μερικά λοβίδια (βέλη) φαίνονται άθκτα. Το εύρημα αυτό είναι ενδεικτικό παγιδεύσεως αέρος και εικόνας μωσαϊκού υποξεία μορφή πνευμονίας εξ υπερευαισθησίας. Αμφοτερόπλευρες εικόνες θαμβής υάλου. χρόνια μορφή πνευμονίας εξ υπερευαισθησίας. ίνωση, εικόνα μελιττοκηρύθρας, εξ έλξεως βρογχεκτασίες, και ανώμαλες δικτυώδεις σκιάσεις. χρόνια πνευμονία εξ υπερευαισθησίας, με ευρήματα υποξεία επιθέσεως. περιοχές θαμβής υάλου κια ήπια ίνωση. χρόνια μορφή πνευμολνίας εξ υπερευαισθησίας. Στους μεν άνω λοβούς (Α) αναγνώριζεται πάχυνση μεσολβιδιίων διαφραγματίων και εξ έλεξεως βρογχιολεκτασίες (βέλη), ενώ στις βάσεις (Β), ίνωση με εικόνα μελιττοκηρύθρας.
|
Η διάγνωση της ΠΥ, κατά ένα μεγάλο της μέρος, βασίζεται στην κλινική υποψία και σε μια σειρά μη ειδικών κλινικών συμπτωμάτων και σημείων που αναπτύσσονται σε κατάλληλη διάταξη και στην ανάδειξη διάμεσων στοιχείων στο ακτινογράφημα θώρακος, στα καθιζάνοντα αντισώματα τα χαρακτηριστικά ευρήματα από τις βρογχοκυψελιδικές εκπλύσεις και τα ευρήματα από τις ιστοπαθολογικές εξετάσεις, συμβατά με κοκκιωματώδη βλάβη.
| ⇒έκθεση σε έναν γνωστό προκλητικό παράγοντα ⇒θετικές περσιπιτίνες ⇒υποτροπιάζοντα επεισόδια με συμπτώματα ⇒εισπνευστικοί τρίζοντες στην ακρόαση θώρακος ⇒συμπτώματα που αναφύονται 4-8 ώρες μετά την έκθεση ⇒απώλεια βάρους |μείζονα κι ελάσσονα διαγνωστικά κριτήρια| |
Σε μια μελέτη που βασίστηκε στην βαθμιδωτή μεθοδολογία της αναλύσεως συσχετίσεως, προκειμένου να βαθμονομηθεί η σημασία τρων διαφόρων κλινικών εργαστηριακών και απιεκονιστικών ευρημάτων, στη διάγνωση της ΠΥ, διαπιστώθηκαν 6 κρίσιμοι παράγοντες για τη διάγνωση της ΠΥ. Επί παρουσίας όλων και των 6 προγνωστικών παραγόντων η πιθανότητα της ΠΥ είναι 98%. Η χρόνια ΠΥ μπορεί να μιμηθεί την ιδιοπαθή πνευμονική ίνωση ή ένα εξελιγμένο στάδιο ινώσεως οπoιασδήποτε διηθητικής διάχυτης πνευμονοπάθειας. Στις περιπτώσεις αυτές πρέπει να διενεργούνται δοκιμασίες προκλήσεως και βιοψίες πνεύμονος.
εργαστηρικά ευρήματα. Στις παροξύνσεις, ιδίως, της παθήσεως αυξημένος αριθμός λευκοκυττάρων, λεμφοπενία, αύξηση της ΤΚΕ και της CRP, ανοσοσφαιρίνες και ανοσοσυμπλέγματα, ενώ ο αριθμός ηωσινοφίλων στο περιφερικό αίμα και η IgE παραμένουν σε φυσιολογικά όρια. Η παρουσία πρεσιπιτινών ορού είναι, εν ένει, χρήσιμη για την ταυτοποίηση της εκθέσεως σ΄ένα δυνητικά αιτιολογικό παράγοντα. Όπως προειπώθηκε, οι συγκεντρώσεις τψν πρεσιπιτινών έναντι πολλών αντιγόνων δεν είναι πάντα διαγνωστικές της ΠΥ. Η ανάλυση των πρεσιπιτινών IgG ανισωμάτων δεν είναι διαγνωστική, ούτε η απουσία τους απορριπτική της διαγνώσεως της ΠΥ, αλλά απαιτείται πολυπλοκότερη ανάλυση των κλινικών, πεικονιστικών και ανοσολογικών δεδομένων. Στην πραγματικότητα, το 40-50% των αεκτεθειμένων αλλά ασυμπτωματικών ατόμων μπορεί να έχουν πρεσιπιτίνες στον ορό. Αρνητικά απτοελέσματα για τον έλέγχο πρεσιπιτινών είναι συχνά και αποιδίδονται τόσο στον μεγάλο αριθμό αιτιολογικών απραγόντων, όσο και σε κια στην ειδικόττηα κι ευαιοσθησία των διαφόρων μεθόδων, όπως έχουν οργανωθεί στα διάφορα ερευνητικά κέντρα. Οι δερρματικές δοκιμασίες δεν είναι επικουρικές διαγνωστικά για την ΠΥ και, έτσι, δεν χρησθιμοπιούνται σε κανονικές συνθήκες.
δοκιμασίες βρογχικής προκλήσεως. Στις περιπτώσει, κατά τις οποίες δεν είναι εφικτή η ανίχνευση αντισωμάτων, μπορεί να διενεργηθούν δοκιμασίες βρογχικής προκλήσεως με δύο παραλλαγές: α. μέσω εκθέσεως στο υπεύθυνο περιβάλλον του υποτιθέμενου αιτιολογικού παράγοντος, β. μεσω εισπνοής καθαρού αντιγόνου μέσω νεφελοποθητού για μικρό χρονικό διάστημα (~10 λεπτά) σε κλινικές διατάξεις, και τον έλεγχο μεγάλου αριοθμού παραμέτρων επί 24ωρο, μετά την πρόκληση, όπως η καταγραφή κλινικών συμπτωμάτων, βήχας, δύσπνοια, ρίγη, πυτερός, και καουχία, μέτρηση λευκών περιφερικού αίματος, CRP, ΑΑΑΑ, δοκιμασίες λειτοευργικού ελέγχου αναπνοής, ακτινογραφίες θώρακος και HRCT. Η μετά την πρόκληση παρακολούθηση εισφέρει στην τεκμηρίωση της διαγνώσεως και, ευτυχώς, οι μετά την πρόκληση επιπλοκές, είναι καλά ανεκτές. Σημειώνεται ότι πολλοί συγγραφείς δεν ενθαρρύνουν τις δοκιμασίες βογχικής προκλήσεως, λόγω του κινδύνου ενεροποιήσεως αλληλουχίας αντιδράσεων, κι επαγωγής εξελικτικής παθήσεως και λόγω της ελλείψεως προτυπώσεως των συγκεντρώσεων του προς χρήση αντιγόνου.
δοκιμασίες λειτουργικού ελέγχου αναπνοής. Συνήθως αναγμνωρίζεται περιοριστικού (ή μικτού) τύπου μείωση της ικανότητας αερισμού μείωση της ικανότητας διαχύσεως στους πνεύμονες, μείωση της πνευμονικής διατασιμότητας, κια υποξαιμία επαγόμενη από την άσκηση. Υποξαιμία αναπαύσεως και υποκαπνία μπορεί επίσης να παρατηρηθούν. Ο βρογχόσπασμος και η βρογχική υπεραντιδραστικότητα μπορεί, σποραδικά, να παρατηρηθούν σε οξείες καταστάσεις.
BAL. Το τυπικό προφίλ της των βρογχοκυψελιδικών εκπλύσεων χαρακτηρίζεται από Χ3-Χ5 αύξηση του αριθμού των κυττάρων με υψηλές συγκεντρώσεις λεμφοκυττάρων, που κυμαίνονται από 20-70% και συχνά >50% με επικράηση των CD3+CD8+ με συνέπεια τη σχέση CD4+/CD8+ να ευρίσκεται συνήθως <1 (μόνο σε ποσσοτό 3% ευρίσκεται >3). Τα λεμφοκύτταρα έχουν χαρακτήρες ενεργοποιήσεως, με ανώμαλο πυρήνα, εμφανές κυτόπλασμα, και, σπραδικά, μικρά αζουροφιλικά ενδοκυτοπλασματικά κοκκία (:μεγάλα κοκκιώδη λεμφοκύτταρα). Η ανοσοφαινοτυπική ανάλυση δείχνει την παρουσία αυξημένου αριθμού CD16+CD3- (NK κύτταρα) και CD3+ που εκφράζουν υποδοχέα IL-2, (CD25+ κύτταρα) και αντιγόνα HLA-DR. Πέραν αυτών, ανιχνεύονται, επίσης, πλασματοκύτταρα και σιτευτικά κύτταρα. Το προφίλ αυτή των BAL δεν είναι διαγνωστικό, από μόνο του, επειδή μπροεί να ειδωθεί, επίσης, σε άτομα που εκτίθενται σε αντιγόνα, χωρίς όμως κλινικές ενδείξεις της παθήσεως, αλλά εισφέρει στον αποκλεισμό άλλων διάμεσων πνευμονοπαθειών, όπως η ιδιοπαθής πνευμονική ίνωση, και η σαρκοείδωση.
Ένα διαφορετικό πριφίλ με υψηλές συγκεντρώσεις ουδετεροφίλων μπορεί να ειδωθεί, εάν η δεξέταση εκτελεστεί εντός 48ώρου από της εκθέσεως. Τα ουδετερόφιλα φαίνεται ότι παίζουν σημαντικό ρόλο στη πμευμονική κάκωση και την επακόλουθη ίνωση, καθώς έχει διαιστωθεί παρουσία θετικής συσχετίσεως μεταξύ των ουδετεροφίλων πνεύμονος και της αναλογίας της ινώσεως και, σε εξελιγμένα στάδια, είναι σύνηθες φαινόμενο η συγκέντρωση ουδετεροφίλων >5%, που συχνά συνοδεύεται από ήπια ηωσινοφιλία, και αυξημένο το δείκτη CD4+/CD8+.
διαβρογχική βιοψία. Ο ρόλος της διαβρογχικής βιοψίας .στη πνευμονία εξ υπερευαισθησίας φαίνεται ότι είναι περιορισμένος. Η χαρακτηριστική ιστοπαθολογική τριάδα μπορεί να μην αναγνωρίζεται σε μικρά βιοπτικά δέιγματα της διαβρογχικής βιοψίας.
απεικονιστικές εξετάσεις. H ακτινογραφία θώρακος μπορεί να είναι φυσιολογική, ιδίως μεταξύ των παροξύνσεων ή μπορεί να εμφανίζει διάχυτες σκιάσεις κατά τη διάρκεια των υφέσεων, αλλά η απλή ακτινογραφία θώρακος στερείται ειδικότητας ή ευαισθησίας, καθώς παθολογικά ευρήαμτα διπασιτώνονται σε <50% των περιπτώσεων. . Η αξονική τομογραφία περιγράφεται αλλού (πίνακας 4). Η κατανομή των βλαβών μπορεί να είναι διάχυτη ή εμβαλωματική (κατά νησίδες) και είναι περισσότερο ευκρινείς στος παραπυλαίες και βασικές περιοχές, Μικρές κυστοειδείς βλάβες, με λεπτά τοιχώματα που περιέχουν αέρα, έχουν επισημανθεί σε μικρό αριθμό ασθενών με υποξεία ΠΥ. Λοβιδιακού επίπεδου περιοχές μειωμένης ακτινολογικής πυκνότητας, και εκπευστική παγίδευση αέρος είναι συνήθεις (50-75%) και μέχρι 92% σε ασθενείς επί δυναμικών εισπνευστικών-εκπνευστικών ΗRCT. Η παγίδευση αέρος είναι, ιδίως, συχνή σε περιοχές με χαρακτήρες θαμβής υάλου και αποκαλύπτουν απόφραξη μικρών αεραγωγών (εικόνα μωσαϊκού). Γενικά, η ατινολογική απεικόνιση της ΠΥ μπορεί να συσχετιστεί με εκείνη επί σαρκοειδώσεως, ή της συνήθους διάμεσης πνευμονίτιδας (συνήθης διάμεση πνευμονία)UIP/IPF αλλά στις περιπτώσεις της ΠΥ οι βάβες είναι εμφαλωματικές και με τάση να συρρέουν στα μέσα πνευμονικά πεδία, ενώ αφήνουν σχετικά ανέπαφες της κορυφές (αν και όχι σε όλες τις περιπτώσεις) και τις βάσεις, ενώ οφείλουν να μην εδράζονται υποϋπεζωκοτικά.
χρόνια πνευμονία εξ υπερευαισθησίας. με ίνωση (πενικίλιουμ). Περιφερικές εικόνες μελιττοκηρύθρας, Η εικόνα, πλέον, είναι δυσδιάκριτη της πνευμονικής ινώσεως.